INVESTIGACIÓN
4 de agosto de 2019
Revelan imágenes de cómo la cocaína destruye el cerebro de un adicto
Las imágenes muestran cómo la droga puede "carcomer" el cerebro de un consumidor, dejándolo con discapacidades y, en el peor de los casos, muerto
/s3.amazonaws.com/arc-wordpress-client-uploads/infobae-wp/wp-content/uploads/2019/07/31152348/Cocaina08.jpg)
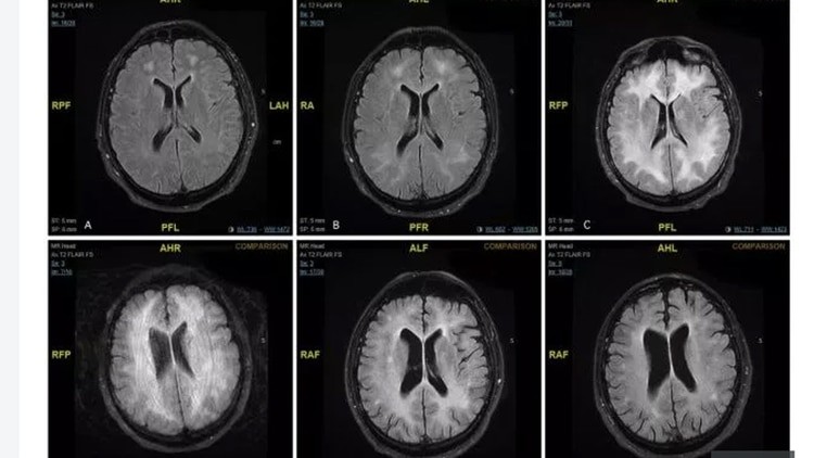
Las imágenes del cerebro obtenidas a través de estudios de resonancia magnética de un consumidor habitual de cocaína revelan el daño que la droga puede causar con el tiempo.
El paciente no identificado fue diagnosticado con una condición rara llamada leucoencefalopatía tóxica inducida por cocaína después de abusar regularmente durante años.
Los estudios fueron efectuados en el hospital de Msida, de Malta. Según los profesionales que atendieron al paciente, se trata de un hombre de 45 años que estaba confundido y se comportaba de manera extraña, antes de que los médicos se dieran cuenta de que padecía leucoencefalopatía tóxica inducida por cocaína.
/s3.amazonaws.com/arc-wordpress-client-uploads/infobae-wp/wp-content/uploads/2019/07/31153053/shutterstock_1009717270.jpg)
La cocaína altera las funciones cerebrales y modifica la estructura del propio órgano.
El doctor Ylenia Abdilla, que trató al hombre no identificado, explicó: "Es un trastorno raro que puede causar una discapacidad significativa. Este estudio de caso está destinado a aumentar la conciencia de esta condición".
Y agregó: "El pronóstico generalmente es malo y puede ser rápidamente mortal; sin embargo, algunos casos raros se recuperan por completo, como se ve en este informe de caso".
Según precisa el diario británico The Sun, Abdilla y sus colegas del Hospital Mater Dei en Malta, trataron al hombre tres días después de haber tomado cocaína por última vez. Durante su ingreso notaron que sus pupilas estaban dilatadas y "enérgicamente reactivas a la luz", y que el paciente "no cooperaba, no podía realizar tareas simples y no seguía las órdenes".
Abdilla envió a su paciente para una resonancia magnética en su cerebro, que reveló daños en la sustancia blanca en el cerebro.
/s3.amazonaws.com/arc-wordpress-client-uploads/infobae-wp/wp-content/uploads/2019/06/06114857/Mujer-descubre-esposo-con-cocaina-1920.jpg)
El consumo de esta droga ha crecido en Argentina.
"La leucoencefalopatía tóxica inducida por cocaína puede presentarse de varias maneras diferentes. Estos incluyen un nivel alterado de conciencia, confusión, lenguaje alterado, visión alterada, fiebre o espasticidad", indicó el galeno.
Y agregó: "El pronóstico es malo: la afección progresa rápidamente y con frecuencia conduce a la muerte. Raramente se ha informado que resulte en una recuperación completa, como en nuestro caso".
Tratamiento y recuperación
Los médicos trataron al hombre, dándole esteroides, un intercambio de plasma y anticuerpos. Fue trasladado a un centro de rehabilitación, donde mostró signos de mejora.
/s3.amazonaws.com/arc-wordpress-client-uploads/infobae-wp/wp-content/uploads/2017/09/08190708/Adictos-a-drogas-2.jpg)
La adicción remodela circuitos neuronales para asignar valor supremo a la cocaína o a la heroína a expensas de otros intereses como la salud, el trabajo, la familia o la vida misma.
Después de cuatro meses, caminaba de manera independiente y se enfrentaba a la mayoría de los aspectos de la vida diaria. El paciente fue tratado por ansiedad y logró evitar las drogas, lo que significa que se le permitió regresar a su hogar un mes después.
Un año después de ser ingresado en el hospital, el hombre regresó para un seguimiento. No había usado drogas durante un año, y aunque su escáner cerebral aún mostraba "cambios persistentes en la materia blanca", las pruebas neurológicas eran normales.
Según precisa el Instituto de Abuso de Drogas de EEUU, la cocaína es una droga extremadamente adictiva, es muy difícil que una persona que la pruebe pueda predecir o controlar hasta dónde continuará deseándola o consumiéndola.
/s3.amazonaws.com/arc-wordpress-client-uploads/infobae-wp/wp-content/uploads/2017/09/08190154/drug-addiction-symptoms.jpg)
Los pacientes deben someterse a un arduo tratamiento de recuperación.
Asimismo, si la persona se vuelve adicta, el riesgo de recaídas es alto aún después de períodos largos de abstinencia. De acuerdo con algunos estudios recientes, durante períodos de abstinencia del uso de cocaína, el recuerdo de la euforia asociado con su uso, o solamente una referencia a la droga, puede disparar un deseo incontrolable de consumirla y terminar en una recaída.
El consumo de cocaína puede causar problemas de salud mental como ansiedad y paranoia, mientras que los médicos han relacionado el aumento de la cocaína barata y potente con un aumento en las tasas de suicidio.
Según las últimas investigaciones médicas a nivel mundial, la cocaína altera las funciones cerebrales y modifica la estructura del propio órgano. Estas 'modificaciones' provocan, por ejemplo, que el cerebro de los consumidores no detecte las consecuencias adversas de su propio comportamiento.
Aparte de las anomalías, también detectaron que en la materia gris se refuerza el circuito de recompensa mientras que baja el tamaño de la materia blanca fuera del área de recompensa. Esto significa que aparecerían reforzadas las estructuras que tratan la gratificación en detrimento de las áreas que controlan procesos cognitivos como son la regulación de la propia conducta y la atención.
Este hallazgo nos explica por qué la gente no cesa en el consumo y tiene tantas recaídas. No es por falta de fuerza de voluntad, sino que la estructura cerebral ha cambiado.
